電話予約
WEB予約
LINE予約
- インフォメーション -

矯正治療の「後戻り」を防ぐために ― 治療後の大切なお話

保定
2026.03.18

はじめに ― 「後戻り」ってなに?

矯正治療で歯並びがきれいに整ったのに、時間が経つにつれて歯が元の位置に戻ってしまう。これを「後戻り(あともどり)」と呼びます。

矯正治療をこれから始めようとされている方にとっても、現在治療中の方にとっても、「後戻り」は気になるテーマではないでしょうか。せっかく長い時間と費用をかけて治療したのに、また歯並びが乱れてしまったら――そんな不安を感じるのは当然のことです。

実際に、過去に他院で矯正治療を受けたものの後戻りが起きてしまい、当院にご相談に来られる方も少なくありません。後戻りは決して珍しい現象ではなく、矯正治療を受けたすべての方にとって注意すべきテーマです。

今回は、後戻りがなぜ起こるのか、どうすれば防ぐことができるのか、そして万が一後戻りが起きてしまった場合にどうすればよいのかについて、詳しくお伝えいたします。

なぜ後戻りは起こるのか ― そのメカニズム

後戻りがなぜ起こるのかを理解するためには、矯正治療で歯がどのように動くのかを知っておく必要があります。

矯正治療では、ブラケットやワイヤー、マウスピースなどの装置を使って歯に持続的な力をかけ、少しずつ歯を移動させていきます。歯が動くと、歯を支えている歯槽骨(しそうこつ)や歯根膜(しこんまく:歯と骨をつなぐ繊維組織)もリモデリング(再構築)されます。力がかかっている側の骨が吸収され、反対側に新しい骨が作られることで、歯は新しい位置に移動していくのです。

しかし、装置を外した直後は、骨のリモデリングがまだ完全には完了していません。歯根膜の繊維も新しい位置に十分に適応しきれていない状態です。そのため、装置を外した後に何もしないでいると、周囲の組織が元の状態に戻ろうとする力が働き、歯が少しずつ元の位置に移動してしまいます。これが後戻りの基本的なメカニズムです。

骨のリモデリングが安定するまでには、一般的に少なくとも1年以上かかるとされています。この期間中に保定装置を使用しないと、後戻りのリスクが大幅に高まります。特に、矯正治療で大きく移動させた歯ほど、元に戻ろうとする力が強く働く傾向があります。回転させた歯や、大きな隙間を閉じた歯などは、後戻りのリスクが比較的高いとされています。

後戻りを引き起こすさまざまな原因

後戻りの原因は、組織のリモデリングの問題だけではありません。さまざまな要因が複合的に関わっています。

まず、「舌癖(ぜつへき)」です。無意識のうちに舌で前歯を押す癖があると、矯正治療で整えた歯並びに対して常に力がかかり続けることになり、歯が前方に移動してしまいます。舌癖は本人が気づいていないことが多く、意識的にトレーニングをしなければ改善が難しい習癖です。

次に、「口呼吸」です。口で呼吸をする習慣があると、口を閉じる際に唇や頬の筋肉が歯にかける力のバランスが変わり、歯並びに影響を与えることがあります。鼻呼吸が正常にできるようになると、口周りの筋肉のバランスが整い、歯並びの安定性が高まります。

「歯ぎしり・食いしばり」も後戻りの原因となります。夜間の歯ぎしりや日中の食いしばりは、特定の歯に過度な力をかけるため、歯の位置を変えてしまうことがあります。

「噛み合わせのアンバランス」も重要な要因です。矯正治療で見た目はきれいに並んでいても、噛み合わせのバランスが十分に整っていない場合、特定の歯に偏った力がかかり続けることで、歯の位置が変化していきます。

さらに、「歯周病」も後戻りのリスクを高めます。歯周病によって歯を支える骨の量が減少していると、歯が動きやすい状態になっているため、わずかな力でも歯の位置が変わってしまいます。特に成人の矯正治療では、歯周病の管理が後戻りの予防に直結します。

そして、「加齢に伴う変化」もあります。年齢を重ねると、歯を支える骨や歯周組織に自然な変化が起こります。これは矯正治療を受けていない方にも共通することですが、矯正治療後の方は特に意識しておく必要があります。

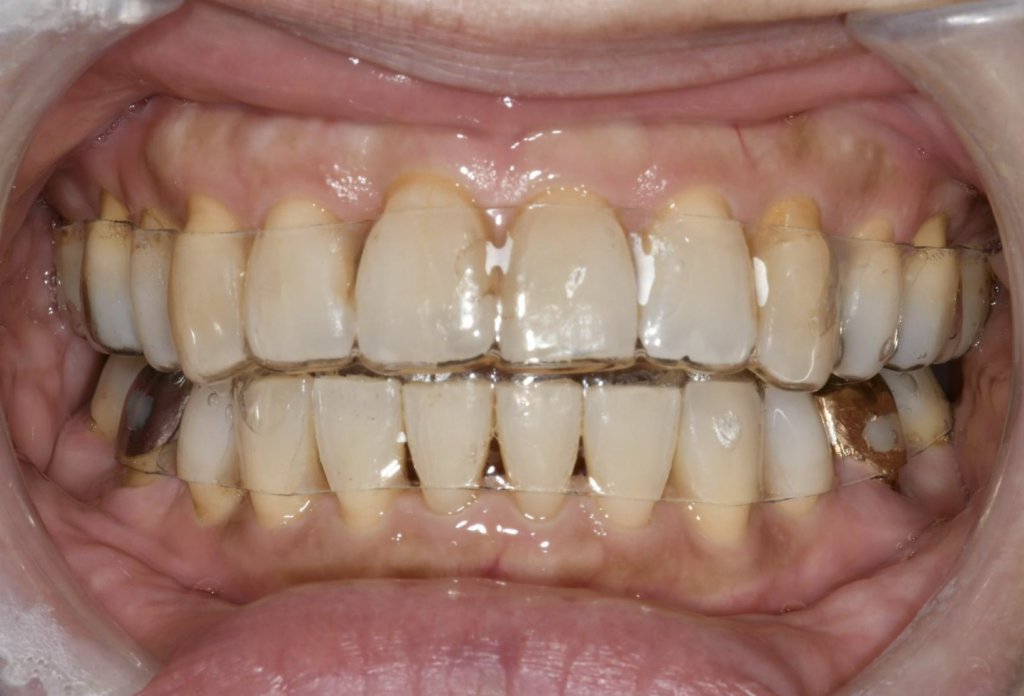
後戻りを防ぐためのポイント① ― 保定装置(リテーナー)の使用

後戻りを防ぐための最も基本的かつ重要な手段が、保定装置(リテーナー)の使用です。矯正装置を外した後に保定装置を装着することで、歯を新しい位置に安定させる時間を確保します。

保定装置にはいくつかの種類があります。「取り外し式リテーナー」は、透明なマウスピースタイプのものや、プラスチックとワイヤーを組み合わせたタイプのものがあります。食事や歯磨きの際に取り外すことができるため、衛生面での管理がしやすいのがメリットです。

「固定式リテーナー」は、歯の裏側に細いワイヤーを接着するタイプです。患者さまご自身で取り外すことはできませんが、常に歯を固定し続けるため、装着忘れの心配がありません。特に前歯の後戻りが起きやすいケースでは、固定式リテーナーが有効です。

当院では、患者さまの症例や生活スタイルに合わせて、最適な保定装置をお選びしています。取り外し式と固定式を併用する場合もあります。

保定装置の使用期間については、一般的に動的治療(歯を動かした期間)と同じかそれ以上の期間が推奨されます。最初の半年から1年間は終日装着していただき、その後は徐々に就寝時のみへと移行していくのが一般的です。ただし、歯並びの安定性は個人差が大きいため、可能であれば長期間にわたって使用を継続していただくことをおすすめしています。

「リテーナーをいつまで使えばよいのか」というご質問をよくいただきますが、結論としては「できるだけ長く使っていただくのが理想」です。リテーナーの装着は、矯正治療の一部とお考えいただければ幸いです。

クリアリテーナー

FIX固定型リテーナー

後戻りを防ぐためのポイント② ― 原因の除去(MFTなど)

保定装置で歯の位置を固定することに加えて、後戻りの「原因そのもの」を取り除くことが重要です。原因が残ったまま保定を続けても、リテーナーを外した後に再び歯が動いてしまう可能性があるからです。

当院では、後戻りの原因となる習癖を改善するために「MFT(口腔筋機能療法:Myofunctional Therapy)」を取り入れています。MFTは、舌の位置や動き、唇・頬の筋肉の使い方、飲み込み方(嚥下パターン)などを正しいパターンに矯正するためのトレーニングです。

たとえば、舌癖がある方の場合、舌の正しい位置(安静時に舌先が上顎の前歯の裏側付近にある状態)を意識するトレーニングや、正しい飲み込み方を練習するトレーニングを行います。最初は意識的に行う必要がありますが、トレーニングを続けることで徐々に無意識にできるようになっていきます。

口呼吸がある方には、鼻呼吸への改善を促すためのアドバイスも行います。口呼吸の原因が鼻やのどの疾患にある場合には、耳鼻咽喉科への受診をおすすめすることもあります。

歯ぎしりや食いしばりがある方には、ナイトガード(就寝時に装着するマウスピース)の使用や、日中の食いしばりに気づくためのセルフチェック法などをご案内しています。

こうした原因の除去は、保定装置の使用と合わせて行うことで、後戻りの予防効果が大きく高まります。当院では、矯正治療の計画段階から後戻りのリスク因子を評価し、必要な対策を治療に組み込んでいます。

後戻りを防ぐためのポイント③ ― 定期的なメインテナンス

保定期間中の定期的なメインテナンスも、後戻りを防ぐために欠かせない要素です。

メインテナンスの通院では、歯並びにわずかな変化が起きていないかを確認します。後戻りは少しずつ進行するため、患者さまご自身では気づきにくいことがあります。定期的に歯科医師がチェックすることで、早い段階で変化を発見し、対処することが可能です。

保定装置の状態もチェックします。取り外し式リテーナーは使用に伴って変形や劣化が生じることがあり、適合が悪くなると保定効果が低下してしまいます。固定式リテーナーも、接着が外れていないか、ワイヤーに問題がないかを確認します。

また、メインテナンス時には歯周組織の検査やプロフェッショナルクリーニングも行います。歯周病の予防・管理を継続することは、歯を支える組織の健康を維持し、歯並びの安定性を高めることにつながります。

当院では、矯正治療が終わった後も、包括的な口腔ケアを継続的に提供するメインテナンスプログラムをご用意しています。矯正治療の「卒業」はなく、治療後も長いお付き合いの中でお口の健康をサポートしていくことが、当院の考え方です。

当院の後戻り対策のもうひとつの特徴 ― 治療計画の段階からの予防

当院では、後戻りの予防を「治療が終わってから考えること」ではなく、「治療計画の段階から組み込むべきこと」と位置づけています。

具体的には、矯正治療のゴールを設定する際に、噛み合わせのバランスを重視しています。見た目がきれいに並んでいても、噛み合わせが不安定であれば、特定の歯に偏った力がかかり続け、後戻りのリスクが高まります。当院では、審美性だけでなく機能的にバランスの取れた噛み合わせを作ることを治療の目標に掲げており、これが長期的な歯並びの安定につながっています。

また、矯正治療中から歯周組織の管理を徹底することも、後戻り予防の一環です。歯周組織が健康であれば、歯を支える力がしっかりと働くため、治療後の歯の安定性が高まります。歯科衛生士による「O-SPT(オルソドンティックサポーティブセラピー)」プログラムを通じて、矯正治療中の口腔衛生と歯周管理を並行して行っています。

このように、後戻りの予防は矯正治療の「おまけ」ではなく、治療の一部として最初から計画に含まれるべきものだと私たちは考えています。

すでに後戻りが起きてしまった方へ

過去に矯正治療を受けたものの、後戻りが起きてしまったという方もいらっしゃると思います。「また最初からやり直さなければいけないの?」と不安に感じるかもしれませんが、すべてのケースでゼロからのやり直しが必要なわけではありません。

後戻りの程度が軽度であれば、部分的な矯正治療やマウスピース型矯正で比較的短期間で改善できる場合もあります。後戻りの程度が大きい場合には、再度の全体的な矯正治療が必要になるケースもありますが、いずれの場合も、まずは後戻りが起こった原因を正確に把握することが重要です。

当院では、後戻りの原因を包括的に分析し、再治療の計画を立てるとともに、同じことが繰り返されないような対策も併せてご提案しています。歯並びの問題だけでなく、歯周組織の状態、噛み合わせのバランス、舌癖や口呼吸の有無なども含めて総合的に評価し、根本的な解決を目指します。

「前に矯正したのにまた歯並びが乱れてきた」「他院で治療を受けたが仕上がりに満足していない」という方は、ぜひ一度ご相談ください。当院は完全予約制ですので、十分な時間をとってお話をお伺いし、現在の状態を精密に検査した上で、最善の方法をご提案いたします。後戻りの再治療は、最初の矯正治療以上に「なぜこうなったのか」を深く考えることが求められる治療です。だからこそ、包括的な視点を持った歯科医院での治療をおすすめいたします。

おわりに ― 矯正治療のゴールは「保定まで」です

矯正治療は、装置を外して終わりではありません。保定期間を含めて、初めて治療が完了すると私たちは考えています。

後戻りを防ぐためには、患者さまご自身の協力も欠かせません。リテーナーの使用、定期的な通院、習癖の改善。少し手間に感じるかもしれませんが、せっかく手に入れたきれいな歯並びを長く維持するために、これらの取り組みは非常に大切です。

当院は、矯正治療中だけでなく、治療後も長期にわたって皆さまのお口の健康をサポートしてまいります。後戻りに関するご心配やご質問は、いつでもお気軽にスタッフにお尋ねください。WEB予約またはお電話にてお待ちしております。

RESERVATION

矯正相談

当院では、皆様に矯正治療を開始するかどうかをじっくり考えて、納得いく形で治療をスタートしていただくために「矯正相談」を行っております。
理想の歯並びを手に入れる第一歩として、あなたの歯並びの現状や矯正治療に関する疑問や不安を解消する場としてぜひご利用ください。

矯正相談のご予約

矯正相談のご予約は、下記のお申し込みフォームもしくは、当院受付(03-3281-4618)までお電話下さい。