
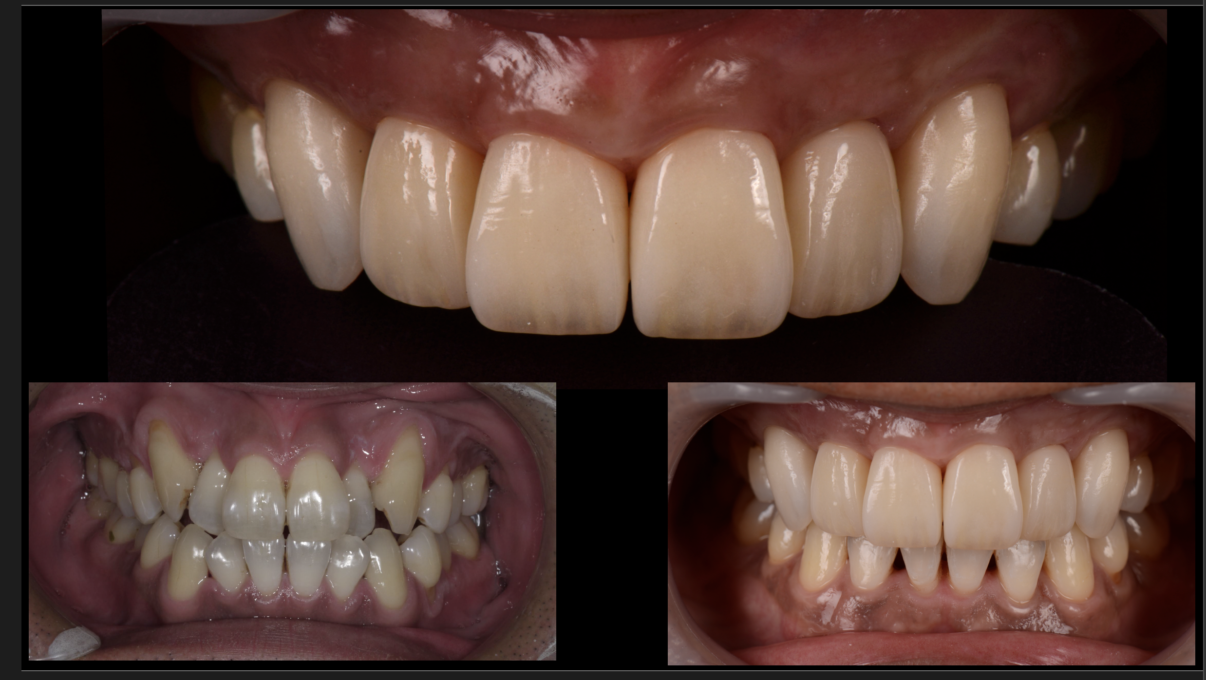
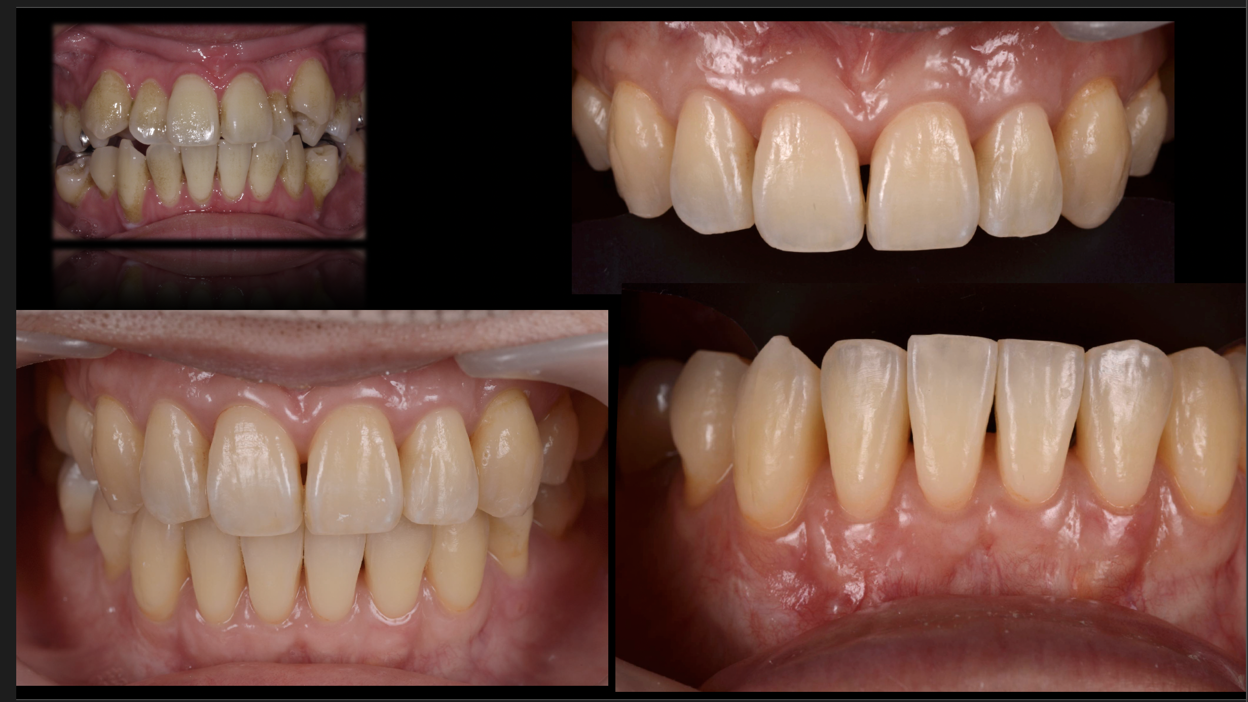
包括的矯正治療 (※)
通常、矯正治療は⻭並びの改善だけを⾏います。
しかし、成⼈を対象とした矯正治療では⻭並びだけでなく、⻭周病や⾍⻭、⻭の⽋損、不良な⻭科修復物の存在など様々な⻭科的問題を抱えており、これらを放置したまま矯正治療を始めるとかえって⻭の寿命を短くしてしまいます。
当院では、緻密な治療計画のもと⻭周再⽣やインプラント、審美セラミック修復などの様々な⻭科治療を成⼈矯正治療に融合させることで、それぞれを単独で⾏う治療に⽐べて、より⾼い審美と健康を追求する治療がである“包括的矯正治療™”を⾏なっています。







