はじめに ― 矯正治療、何から始まるの?
「矯正治療に興味はあるけれど、実際にはどんな流れで進むのだろう?」「治療期間はどれくらいかかるの?」「痛みはあるの?」――矯正治療を検討されている方から、こうしたご質問をいただくことがよくあります。
矯正治療は、初診相談から治療完了後の保定まで、いくつかのステップに分かれています。一般的な歯科治療に比べて治療期間が長く、複数の段階を経て進むため、全体像がわからないことが不安の原因になっている方も少なくありません。
あらかじめ治療の全体像を知っておくことで、「今、自分はどの段階にいるのか」「次に何が起こるのか」が理解でき、安心して治療に臨んでいただけると思います。今回は、当院での矯正治療がどのように進んでいくのかを、ステップごとにわかりやすくご説明いたします。
STEP 1:矯正相談(カウンセリング)
矯正治療の第一歩は、矯正相談です。当院では、治療を始めるかどうかをじっくりお考えいただくために、まずカウンセリングの場を設けています。
矯正相談では、患者さまの歯並びやお口に関するお悩み、治療に対するご希望やご不安などを丁寧にお伺いします。「前歯のガタガタが気になる」「噛み合わせが悪い気がする」「人前で口を開けて笑えない」など、どのようなことでもお聞かせください。
その上で、お口の中を拝見し、考えられる治療の方向性や、おおまかな治療期間・費用の目安についてご説明いたします。使用が考えられる装置の種類(表側矯正、舌側矯正、マウスピース型矯正など)についても、それぞれのメリットと注意点を含めてお話しします。
この段階では検査や治療は行いませんので、「まずは話を聞いてみたい」「自分の場合は矯正が必要なのか知りたい」という方も、お気軽にお越しください。当院は完全予約制ですので、十分な時間を確保してお話しいたします。
STEP 2:精密検査
矯正治療を進めることになりましたら、精密検査を行います。正確な診断と治療計画の立案のために、当院では複数の検査を組み合わせて実施しています。(精密検査+診断 66,000円税込)
まず、口腔内の写真撮影と顔貌(お顔)の写真撮影を行います。正面・側面・さまざまな角度から撮影し、歯並びの状態や顔全体のバランスを記録します。これらの写真は、治療前後の変化を比較する際にも大切な資料となります。
次に、レントゲン撮影を行います。頭部X線規格写真(セファログラム)は、矯正治療において最も重要な検査のひとつです。横顔のレントゲンから、顎の骨格の形態や大きさ、歯の傾き、上下の顎の位置関係などを精密に分析します。当院では、院長が開発に携わったAI搭載のセファロ分析システム「DIP Ceph」も活用し、客観的で再現性の高い分析を行っています。
パノラマレントゲンでは、すべての歯の状態や顎の骨の全体像を確認します。親知らずの位置や埋伏歯(骨の中に埋まっている歯)の有無、歯根の状態なども確認できます。必要に応じてCT撮影を行い、三次元的な骨の形態を把握する場合もあります。
さらに、歯型の採取や噛み合わせの記録を行います。歯型は、治療後の歯並びをシミュレーションするセットアップモデルの製作にも使用される大切な資料です。
また、当院の大きな特徴として、矯正治療の前に歯周組織の検査も丁寧に行います。歯ぐきの状態、歯周ポケットの深さ、出血の有無、骨の吸収の程度などを記録し、歯周組織の健康状態を正確に把握します。成人の矯正治療では、歯周組織の健康を確認することが安全な治療の大前提となるからです。
STEP 3:診断・治療計画のご説明
精密検査の結果をもとに、院長含む当院のドクターチームが総合的な分析・診断を行い、治療計画を立案します。当院では、矯正治療だけでなく、歯周治療やその他の処置が必要な場合には、それらを含めた包括的な治療計画を作成します。
診断結果と治療計画は、検査から約1ヶ月後(※ご予約状況による)患者さまにわかりやすくご説明いたします。具体的には、現在のお口の状態と問題点、治療によって達成を目指すゴール、使用する装置の種類と選択理由、治療の手順とおおよその期間、抜歯の必要性の有無、費用とお支払い方法などについてお話しします。
セットアップモデル(治療後の歯並びをシミュレーションしたデジタル模型)をお見せする場合もあり、治療のゴールを視覚的にイメージしていただくことができます。「治療後にどのような歯並びになるのか」を事前に確認できることは、患者さまにとって大きな安心材料になるのではないでしょうか。
当院が大切にしているのは、患者さまにしっかりとご理解・ご納得いただいた上で治療を始めることです。説明を聞いた上で「もう少し考えたい」という場合には、もちろんお時間をとっていただいて構いません。ご家族とご相談されたい方もいらっしゃいますし、疑問点があれば何度でもご質問ください。
STEP 4:前処置(必要な場合)
矯正装置を装着する前に、必要に応じて前処置を行います。この工程が、当院の「包括的矯正治療」の真価が発揮される場面です。
歯周病がある場合には、まず歯周治療を行い、歯ぐきと骨の状態を安定させます。歯周病の管理が不十分なまま矯正力をかけると、骨の吸収が進行してしまうリスクがあるためです。歯科衛生士によるプロフェッショナルクリーニングや、ブラッシング指導、必要に応じた歯周外科処置を行い、矯正治療を安全に始められる環境を整えます。
虫歯がある場合にはその治療を行い、不適合な詰め物やかぶせ物がある場合には修正を検討します。矯正治療によって歯が移動すると、既存の修復物の適合が変わることもあるため、治療の順序を慎重に計画する必要があります。
抜歯が必要な場合も、この段階で行います。矯正治療では、歯を並べるためのスペースを確保するために抜歯が必要になるケースがあります。抜歯の必要性については、診断の段階で詳しくご説明いたします。
前処置の内容や期間は患者さまによって大きく異なりますが、この工程を丁寧に行うことが、長期的に良い結果を得るための重要なポイントです。「早く装置をつけたい」というお気持ちもわかりますが、土台をしっかり整えてから矯正治療に進むことで、より安全で確実な治療が可能になります。
STEP 5:矯正治療の開始(動的治療)
いよいよ矯正装置を装着し、歯を動かす治療(動的治療)が始まります。使用する装置は、表側矯正、舌側矯正(裏側矯正)、マウスピース型矯正など、治療計画に基づいて選択されたものを使用します。
装置を装着した直後は、歯に力がかかることによる痛みや違和感を感じる方がいらっしゃいます。これは歯が動き始めているサインでもあり、通常は数日から1週間程度で落ち着いてきますのでご安心ください。調整のたびに同様の違和感が出ることがありますが、回数を重ねるごとに慣れてくる方がほとんどです。
治療期間中は、定期的にご来院いただき、装置の調整や治療の進行状況の確認を行います。通院の頻度は、装置の種類や治療の段階によって異なりますが、おおむね月に1回程度です。毎回の来院時には、歯の動きを確認し、ワイヤーの交換や装置の調整を行います。マウスピース型矯正の場合は、新しいマウスピースへの交換時期の確認や適合のチェックを行います。
当院では、矯正治療中も歯周組織の状態を定期的にモニタリングしています。歯科衛生士によるプロフェッショナルケアやブラッシング指導を通じて、治療中の口腔衛生を維持するプログラム「O-SPT(オルソドンティックサポーティブセラピー)」を実施しています。矯正装置が付いている間はどうしても歯磨きが難しくなるため、プロによるサポートが重要です。
治療の途中で、当初の計画どおりに進んでいない場合や、予期しない変化が生じた場合には、治療計画を柔軟に修正することもあります。包括的な治療を一つのクリニック内で行っている当院では、こうした判断と対応を迅速に行うことが可能です。
動的治療の期間は、症例の複雑さや歯の動き方によって異なりますが、一般的には2年から3年程度です。包括的矯正治療の場合には、前処置の期間も含めるとトータルではもう少し長くなることもありますが、その分、歯並びだけでなくお口全体の健康を改善した上でのゴールを目指すことができます。

STEP 6:装置の撤去・保定装置の装着
歯が計画どおりの位置に移動し、噛み合わせも良好な状態になったことが確認できましたら、矯正装置を撤去します。装置を外す日は、多くの患者さまにとって喜びの瞬間です。
しかし、ここで治療が完了するわけではありません。装置を外した直後は、歯を支える骨や周囲の組織がまだ完全には安定しておらず、歯が元の位置に戻ろうとする力が働きます。これが「後戻り」と呼ばれる現象です。
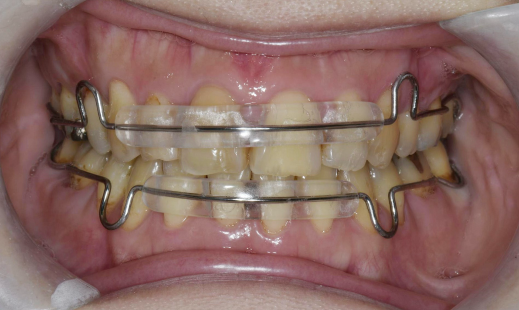
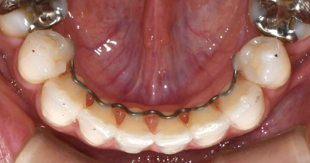
後戻りを防ぐために、「保定装置(リテーナー)」を装着していただきます。保定装置にはいくつかの種類があり、透明なマウスピースタイプの取り外し式リテーナーや、歯の裏側にワイヤーを接着する固定式リテーナーなどがあります。患者さまの状態やご希望に合わせて、最適な保定装置をお選びします。

クリアリテーナー

Beggリテーナー

FIXリテーナー
保定期間の目安は一般的に2年以上とされていますが、長期間にわたってリテーナーを使用することで、より安定した結果を維持することができます。保定装置の装着時間は徐々に減らしていくことが一般的ですが、詳しいスケジュールは担当医からご説明いたします。
STEP 7:メインテナンス(定期チェック)
保定期間中も、定期的にご来院いただき、歯並びの安定性や保定装置の状態、歯周組織の健康をチェックします。3ヶ月に一度、歯石や着色のクリーニング(メンテナンス)、年に1度、歯科検診を推奨しております。
当院では、矯正治療が終わった後も、長期的に安定した状態を維持するためのメインテナンスプログラムをご用意しています。歯並びの後戻りを防ぐだけでなく、歯周病や虫歯の予防も含めた包括的な口腔ケアを継続して行います。
メインテナンスの通院時には、歯科衛生士によるプロフェッショナルクリーニングも行い、日頃のブラッシングでは除去しきれない汚れを丁寧に取り除きます。また、噛み合わせの変化がないか、リテーナーの適合に問題がないかなども確認します。
矯正治療は「装置を外して終わり」ではありません。治療後のケアまで含めて、初めて本当の意味で治療が完了すると私たちは考えています。長い人生をご自身の歯で健康に過ごしていただくために、治療後のサポートにも力を入れています。
治療期間の目安
矯正治療全体にかかる期間について、おおまかな目安をお伝えいたします。
精密検査から診断・治療計画の説明までは、通常2〜3回の来院で完了します。(検査後、セットアップ発注の関係で、診断までに1ヶ月〜1ヶ月半のお時間が必要です。)前処置が必要な場合は、その内容によって数週間から数か月の期間を要します。
動的治療(歯を動かす治療)の期間は、一般的に2年から3年程度です。軽度の歯並びの乱れであれば1年程度で終わるケースもありますし、複雑な症例では3年以上かかることもあります。
保定期間は2年以上が推奨されますが、可能であればさらに長く続けていただくことで、歯並びの安定性が高まります。
なお、治療期間はあくまで目安です。歯の動き方には個人差があり、通院のペースや装置の使用状況によっても変わります。
おわりに ― 全体像がわかれば、安心して始められます
矯正治療の流れを事前に知っておくことで、治療への不安が軽減され、前向きな気持ちで治療に取り組んでいただけると思います。
当院では、すべてのステップにおいて丁寧なご説明を心がけています。「今どの段階にいるのか」「次に何をするのか」を常に共有しながら、患者さまと一緒に治療を進めてまいります。わからないことや不安なことがあれば、いつでもスタッフにお声がけください。
矯正治療をお考えの方は、まず矯正相談からお気軽にどうぞ。当院は完全予約制となっておりますので、WEB予約またはお電話にてお問い合わせをお待ちしております。