矯正治療は、歯並びの改善や噛み合わせの最適化、顔貌のバランスなどを整えるための非常に重要な医療行為です。しかし、見落とされがちな問題のひとつに、"矯正中に起きる歯肉退縮" があります。歯がきれいに並んでも、歯ぐきが下がってしまえば「歯が長く見える」「知覚過敏が起きる」「将来的に歯周病リスクが高まる」といった機能的・審美的な問題が生じます。
このリスクに対して、いま注目されているのが当院の綿引淳一先生が考案したO-PRO(Orthodontic-Periodontal Regeneration for Orthodontics)法です。
■ O-PRO法とは?綿引淳一先生が提唱する“予防型歯周外科”
O-PRO法は、歯周形成外科の第一人者である綿引淳一先生が考案した、矯正治療における歯肉・骨の安定性を高めるための低侵襲外科的介入です(綿引ら, 2020)【26:16†包括的矯正歯科治療】。
この術式は、単に歯ぐきを補強するのではなく、将来的な歯肉退縮や骨吸収を“予防する”というコンセプトが軸にあります。矯正前・矯正中・矯正後に応じてタイミングを選び、患者個々の歯周組織の脆弱性に対応した戦略的オペが可能です。
O-PROの分類
O-PROには症例ごとに対応できるよう複数の術式(Pla, Plb, P2, P3)が存在します。 たとえばP3ではDBBM(脱灰ウシ骨)とFDBA(凍結乾燥同種骨)を1:1で混合し、歯肉と骨の両方にアプローチします【26:4†包括的矯正歯科治療】。
対象となる歯肉のタイプ(Watahikiの分類)
- Class I: 頬側に骨があるが歯肉が薄い
- Class II: 骨も歯肉も薄く、退縮リスクが高い
この分類により、どの部位に、どのタイミングで、どの術式を適用すべきかを判断します。
■ なぜ矯正中に歯ぐきが下がるのか?
矯正中に歯肉退縮が起こりやすい理由は主に以下の3つです:
- 歯の移動による歯槽骨のリモデリング不足
- ブラッシング圧の強さや器具による摩擦
- 先天的な歯肉の薄さや骨の形態異常
実際、矯正治療中の患者では最大で40%以上に歯肉退縮の兆候が認められるという報告もあります(Gorbunkova et al., 2016)【26:16†包括的矯正歯科治療】。
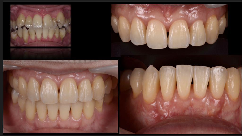
■ 症例紹介:40代女性、下顎前歯の歯肉退縮が改善
矯正中に歯肉退縮が進行し、前歯が長く見えるようになってしまった40代女性のケース。綿引先生によるO-PRO P3を適用することで、術後1年で明らかな歯肉増生と審美性の回復が認められたと報告されています。

■ 他のオプションとの違いは?
従来の歯肉退縮対策と比べて、O-PROには次のような利点があります:
- 矯正治療と同時進行が可能
- 再発リスクが低い(骨再生も伴うため)
- 複数の術式により広範な症例に対応可能
■ 誰に向いている?適応となる患者の特徴
- 矯正中に歯肉が痩せてきたと感じる方
- 笑ったときに歯ぐきが下がって見える方
- 元々歯ぐきが薄く、過去に知覚過敏や退縮を経験した方
- しっかりと仕上がった矯正結果を長期維持したい方
歯並びが整うだけでなく、歯ぐきの位置・厚み・色調までもが自然で健康的であること。それが、本当の意味での矯正治療の完成形です。
O-PROは、治療後に後悔しないための“予防医学的アプローチ”として、いま多くの専門医が注目しています。
まずは現在の歯肉状態をチェックし、必要な場合には専門医によるカウンセリングを受けることをおすすめします。